How to plan a brain tumor MRI protocol (part 2: post-contrast)

This step-by-step guide is for MRI students, radiographers, and technologists who wish to improve their planning skills and master the brain tumor MRI protocol.

This guide is Part 2 of planning a brain tumor MRI assessment. In Part 1, we covered pre-contrast imaging and tumor characterization.

In this Part 2, we will follow up with contrast injection and post-contrast imaging, where we identify enhancement patterns that guide tumor diagnosis and treatment planning.

What you will learn:

  1. Key factors in brain tumor MRIs, including trade-offs.
  2. How to perform the contrast injection workflow
  3. Best post-contrast pulse sequences and planning techniques.
  4. Ways to avoid common artifacts.
  5. Qualities of great brain tumor images.
Key Takeaways
  1. Resolution and SNR are nearly equal priorities, with resolution slightly ahead.

    Missing a 2 mm brain metastasis can completely change treatment decisions. High spatial detail is essential to differentiate tumor types and detect infiltrative margins. SNR is not a goal on its own, but it must be high enough to support the required resolution.

  2. Scan time ranks third, unless patient motion becomes a problem.

    Most patients tolerate around 30 minutes of scanning. However, motion can make images completely unreadable. For uncooperative patients, it is better to sacrifice some resolution or SNR than lose the entire study to motion blur.

  3. Brain tumor protocols rely on many complementary sequences.

    No single sequence gives a complete picture. We apply 3D T1 for anatomy and contrast comparison, T2 for edema and cystic components, FLAIR for infiltrative margins, diffusion-weighted imaging for cellularity, and T2 star for hemorrhage. Together, these contrasts reveal different tissue properties of the tumor.

  4. Avoid these common brain tumor MRI artifacts.
    Artifacts Solution – How to Avoid It
    Motion artifacts Shorten the scan time to reduce the risk of patient movement. Immobilize the patient as much as possible with foam pads.
    Susceptibility artifacts Use spin echo sequences rather than gradient echo when possible. Position DWI slices to avoid air-tissue interfaces at skull base.
    Chemical shift artifacts Increase the bandwidth to reduce the spatial displacement between fat and water signals.
    CSF flow artifacts Use flow compensation gradients and fast sequences like FLAIR to minimize CSF pulsation effects.
    Truncation artifacts Increase the resolution to capture more frequency information and reduce Gibbs ringing at tissue boundaries.
    Wrap-around artifacts Activate fold-over suppression to prevent anatomy outside the field of view from overlapping.
    Geometric distortion (on diffusion-weighted imaging) Use parallel imaging to reduce echo train length and susceptibility buildup. Use a short TE to reduce distortion from inhomogeneous magnetic fields.

Intro to Post-Contrast Brain Tumor Imaging

In Part 1 of our brain tumor protocol, we completed all pre-contrast sequences. We captured baseline anatomical information with 3D MP-RAGE, assessed tumor composition with T2 and FLAIR, evaluated cellularity with diffusion-weighted imaging, and checked for hemorrhage with T2* gradient echo.

Now we continue with another core part of brain tumor assessment: contrast-enhanced imaging. This is where we identify enhancement patterns that guide diagnosis and treatment planning.

Enhancement patterns help us distinguish between different tumor types:

  • Rim enhancement: High-grade glioma, abscess, or metastasis
  • Homogeneous enhancement: Meningioma or lymphoma
  • No enhancement: Low-grade glioma

These patterns directly impact treatment decisions and prognosis.

Common brain tumors: Sagittal view diagram of brain showing common tumor locations including meningioma, astrocytoma, ependymomas, pituitary tumors, optic glioma, medulloblastoma, schwannomas, and colloid cyst

How to Balance the 3 Trade-offs in Brain Tumor MRIs

In MRI, we always face a trade-off between 3 key metrics:

  • Scan Time: How fast a pulse sequence can be completed.
  • Resolution: How much detail the image can display.
  • SNR: How clear the image is, how much signal relative to noise.

Improving one of these metrics reduces the performance of the others. To decide what trade-offs to make, we must consider the needs of each clinical situation.

For brain tumor MRIs, we face these challenges:

  • Missing a 2 mm metastasis could change treatment entirely. We need to see small lesions clearly and detect infiltrative margins that extend into normal brain tissue.
  • We must differentiate between different tumor types based on their signal characteristics. This requires adequate image clarity to distinguish subtle differences in tissue properties.
  • Brain tumor protocols are comprehensive studies that include many sequences. Most patients can tolerate around 30 minutes of scanning, but beyond that, motion artifacts can make images completely unreadable.

Therefore, we typically:

  1. Prioritize resolution to detect small metastases and infiltrative margins,
  2. Keep good SNR to ensure adequate image clarity for our resolution targets, and
  3. Optimize scan time as needed to stay within the practical limit of around 30 minutes.
Educational diagram illustrating MRI parameter trade-offs in brain tumor imaging. A blue triangle represents the three competing factors: Scan Time (apex), Resolution (base left), and SNR (base right). Text explains priorities: 1) Prioritize resolution to detect small metastases and tumor infiltration, 2) Keep SNR good enough for resolution targets, 3) Scan time comes last, though scans over 30 minutes risk motion artifacts.
Note! Prioritizing resolution in brain tumor MRIs is only a general guideline, NOT a strict rule. If the patient cannot hold still, then scan time becomes the top priority. For uncooperative patients, it's better to sacrifice some resolution or SNR than to risk motion blur that makes images completely unreadable. The right balance always depends on the needs of your patient and clinic.

Post-Contrast Brain Tumor Conditions and the MRI Sequences That Reveal Them

These are some of the most common brain tumor conditions we look for in post-contrast imaging, and which pulse sequences reveal them:

Condition Clearly Seen on Sequence Why This Sequence
Enhancing tumors
• Glioblastoma
• Brain metastases
• Primary CNS lymphoma
• Leptomeningeal disease
MP-RAGE (Post-Contrast) Gadolinium highlights blood–brain barrier breakdown as enhancement. This is the primary sequence for detecting aggressive tumors and metastases.
Dural-based lesions
• Meningiomas
• Dural metastases
T1 Fat-Sat + Contrast Fat suppression removes bright skull base fat and marrow signal. This makes thin dural enhancement and the dural tail much easier to see.

The Contrast Injection Workflow

Understanding the complete workflow helps you plan efficiently and avoid delays after contrast injection. The key principle is: plan all post-contrast sequences before injecting contrast.

For Manual Injection:

  1. Insert cannula in patient's arm
  2. Position patient at isocenter
  3. Acquire all pre-contrast sequences
  4. Plan all post-contrast sequences
  5. Slide patient table out of bore
  6. Enter scan room with prepared syringe
  7. Inject contrast slowly through cannula
  8. Press isocenter button to reposition patient
  9. Return to control room and start post-contrast acquisitions (about 3-5 min after starting the injection)

For Automated Power Injection:

  1. Insert cannula in patient's arm
  2. Connect IV line from injector to cannula
  3. Position patient at isocenter
  4. Acquire all pre-contrast sequences
  5. Plan all post-contrast sequences
  6. Set injection parameters (volume, flow rate, etc.)
  7. Initiate injection from control room
  8. Wait 3-5 minutes after starting injection, then start post-contrast sequences

In both workflows, Step 4 (planning post-contrast sequences) happens before contrast injection. This ensures zero wasted time after injection.


How to Perform Brain Tumor Contrast-Enhanced Imaging

The step-by-step guide below will show you how to perform contrast-enhanced imaging for brain tumor assessment, the second part of a complete brain tumor protocol.

In Part 1, we set up the patient, captured localizer images, and acquired all pre-contrast sequences. Now in Part 2, we will perform the protocol in 3 parts:

  1. Plan and Set Up the Post-Contrast Sequences
  2. Inject the Contrast Agent
  3. Review the Images

Part 1: Plan and Set Up the Post-Contrast Sequences

Before we inject contrast, we must plan all post-contrast sequences and have them ready to run. This ensures we don’t waste any time after injection.

The 3 post-contrast sequences of a standard brain tumor MRIs:

  1. Sagittal T1 3D MP-RAGE
  2. Axial T1 TSE with Fat Suppression
  3. Coronal T1 TSE with Fat Suppression

We use T1-weighted sequences after contrast because they show enhancement patterns that guide diagnosis.

3D MP-RAGE is the gold standard for tumor enhancement and abnormal blood-brain barrier breakdown. The fat-suppressed T1 TSE sequences confirm enhancement patterns and eliminate fat signal that could obscure pathology.

In the sections below, we go through how to plan and set up each sequence.


1. Planning Sagittal T1 3D MP-RAGE (Post-Contrast)

✅ Correct Planning:

Planning Sagittal T1 3D MP-RAGE (Post-Contrast) – correct planning

Planning Instructions:

  • Copy the slice geometry and planning from the pre-contrast sagittal T1 3D MP-RAGE sequence.
  • Keep the same slice angulation, coverage, and positioning to ensure precise comparison between pre- and post-contrast images.
  • Use identical spatial resolution and planning to enable side-by-side overlay comparison.

Parameters for Post-Contrast Sagittal T1 3D MP-RAGE:

Use the same parameters as the pre-contrast T1 3D MP-RAGE sequence to ensure the post-contrast sequences maintain the same appearance and can be clearly compared.

Parameter Recommended Values Why These Values
Echo Time (TE) 3–4 ms Very short TE minimizes T2* effects and maximizes T1 contrast.
Repetition Time (TR) 1,800–2,500 ms Long TR allows complete relaxation between inversion pulses in MP-RAGE sequence.
Inversion Time (TI) 800–900 ms Optimizes gray-white matter contrast at 3T by nulling gray matter at the right time.
Field-of-View (FOV) 230 × 230 mm Square FOV for isotropic voxels, large enough to cover the entire brain.
Matrix 232 × 232 High matrix combined with small voxels provides excellent spatial resolution for isotropic imaging.
Foldover Direction (Phase) Anterior-to-Posterior (AP) Minimizes FOV in AP direction to reduce scan time while covering brain fully.
Number of Slices 124–192 Enough slices to cover the brain with 1–1.2 mm thickness for isotropic resolution.
Slice Thickness 1–1.2 mm Thin slices for isotropic voxels enable multiplanar reconstruction in any plane. Ideally aim for 1 mm cubic voxels.
Slice Gap 0 mm Contiguous slices for 3D acquisition ensure no gaps in coverage.
NEX / Averages 1 Single average keeps scan time reasonable while maintaining good SNR at 3T.
Flip Angle 15° Low flip angle optimizes T1 contrast with short TR in gradient echo sequence.
Bandwidth 200–250 Hz/px Medium bandwidth balances chemical shift and SNR.
Parallel Imaging Optional GRAPPA/SENSE factor 2 Can reduce scan time by approximately 50% while maintaining image quality if needed.
Fold-over Suppression Yes Prevents wrap-around artifacts from posterior structures.

2. Planning Axial T1 TSE with Fat Suppression (Post-Contrast)

✅ Correct Planning:

Planning Axial T1 TSE with Fat Suppression (Post-Contrast) – Correct Planning

Planning Instructions:

  • Copy the slice geometry and planning from the axial T2 TSE sequence.
  • Keep the same slice angulation, coverage, and positioning to ensure images can be easily compared with other axial sequences.
  • This sequence should be acquired at approximately 10-12 minutes post-injection for peak parenchymal enhancement.

Parameters for Post-Contrast Axial T1 TSE with Fat Suppression:

Parameter Recommended Values Why These Values
Echo Time (TE) 8–12 ms Short TE is required for T1 contrast.
Repetition Time (TR) 350–600 ms Short TR is required for T1 contrast.
Field-of-View (FOV) 210 × 250 mm Large enough to cover the brain while avoiding wrap-around artifacts.
Matrix 320 × 320 High matrix provides excellent spatial resolution for detecting small lesions.
Foldover Direction (Phase) Right-to-Left (RL) Reduces wrap-around artifacts and optimizes FOV for brain shape.
Number of Slices 30–35 Enough slices to fully cover from vertex to foramen magnum.
Slice Thickness 3–4 mm Thinner than routine brain (typically 5–6 mm) for better tumor detail.
Slice Gap 0–1 mm Minimal gap provides continuity between slices while avoiding cross-talk.
NEX / Averages 3 Higher averaging improves SNR for detecting subtle enhancement.
Turbo Factor / ETL 3–5 Low turbo factor maintains T1 weighting and avoids T2 contamination.
Bandwidth 244 Hz/px Medium bandwidth balances SNR with chemical shift artifacts.
Refocusing Flip Angle 180° Standard refocusing angle for TSE sequences.
Fold-over Suppression Yes Prevents wrap-around artifacts from posterior structures.
Fat Suppression Spectral Eliminates fat signal to make true contrast enhancement clearly visible.

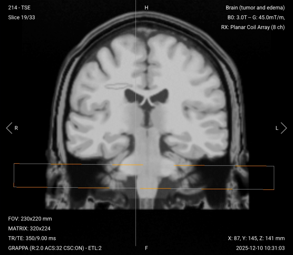
3. Planning Coronal T1 TSE with Fat Suppression (Post-Contrast)

✅ Correct Planning:

Planning Coronal T1 TSE with Fat Suppression (Post-Contrast) – Correct Planning

Planning Instructions:

  • Use the post-contrast sagittal T1 3D MP-RAGE for planning.
  • Align the slices as follows:
    • Sagittal Localizer: Perpendicular to the midsagittal line of the brain.
    • Axial Localizer: Ensure slices run from anterior (frontal lobe) to posterior (occipital lobe) without cutting out any anatomy.
  • Use appropriate geometry parameters:
    • Slice number: Enough to cover from the posterior fossa to the frontal lobe (typically 20-25 slices).
    • Slice thickness: 6 mm, medium thickness for good resolution without sacrificing scan time or SNR.
    • Slice gap: 1 mm, approximately 20% of slice thickness to provide continuity and avoid cross-talk.
  • Set the fold-over direction (phase encoding) to right-left (RL) to minimize wraparound artifacts and allow the smallest field of view.
  • This sequence should be acquired at approximately 13-15 minutes post-injection.

Parameters for Post-Contrast Coronal T1 TSE with Fat Suppression:

Parameter Recommended Values Why These Values
Echo Time (TE) 8–12 ms Short TE is required for T1 contrast.
Repetition Time (TR) 350–600 ms Short TR is required for T1 contrast.
Field-of-View (FOV) 230 × 220 mm Optimized for coronal orientation covering brain from anterior to posterior.
Matrix 320 × 224 High matrix provides excellent spatial resolution for detecting small enhancing lesions.
Foldover Direction (Phase) Right-to-Left (RL) Minimizes wraparound artifacts and optimizes FOV for brain shape in coronal view.
Number of Slices 30–35 Enough slices to fully cover from posterior fossa to frontal lobe.
Slice Thickness 4 mm Medium thickness balances resolution with SNR and scan time.
Slice Gap 1 mm Minimal gap provides continuity between slices while avoiding cross-talk.
NEX / Averages 3 Higher averaging improves SNR for detecting subtle enhancement.
Turbo Factor / ETL 3–5 Low turbo factor maintains T1 weighting and avoids T2 contamination.
Bandwidth 244 Hz/px Medium bandwidth balances SNR with chemical shift artifacts.
Refocusing Flip Angle 180° Standard refocusing angle for TSE sequences.
Fold-over Suppression Yes Prevents wrap-around artifacts from posterior structures.
Fat Suppression Spectral Eliminates fat signal to make true contrast enhancement clearly visible. If spectral fat suppression fails at 3 Tesla, use STIR or inversion recovery instead.

How to Avoid Artifacts When Planning the Sequences

The table below lists the 7 common brain tumor artifacts, and what techniques you can use to avoid them:

Artifacts Solution – How to Avoid It
Motion artifacts Shorten scan time to reduce patient movement. Immobilize the head as much as possible to maintain image sharpness.
Susceptibility artifacts Use spin echo sequences over gradient echo. Position slices carefully to reduce effects from air–tissue interfaces.
Chemical shift artifacts Increase the bandwidth to reduce spatial misregistration between fat and water signals.
CSF flow artifacts Apply flow compensation gradients and fast sequences such as FLAIR to reduce cerebrospinal fluid pulsation effects.
Truncation artifacts Increase spatial resolution to capture more frequency information and reduce Gibbs ringing at sharp tissue boundaries.
Wrap-around artifacts Activate fold-over suppression to prevent anatomy outside the field of view from overlapping the brain.
Geometric distortion (on diffusion-weighted imaging) Use parallel imaging to reduce echo train length and susceptibility buildup. Use a short TE to reduce distortion from inhomogeneous magnetic fields.

Part 2: Inject the Contrast Agent

Now that all post-contrast sequences are planned and ready, we proceed with contrast injection following the workflow outlined earlier.

1. Verify Patient Safety

Before any contrast injection, you must verify that the patient can handle it. Their eGFR must be above 35 mL/min/1.73m², but check your hospital's specific cutoff.

If the patient's kidneys can't handle the contrast safely, either perform non-contrast tissue characterization or end the exam. Never compromise patient safety for imaging.

2. Contrast Dosing

Use standard gadolinium at 0.5 millimole per milliliter concentration.

The standard dose is 0.1 millimole per kilogram of patient weight, which typically means 15-20 mL for an 80 kg patient.

3. Timing Protocol

After contrast injection, follow this timing:

  • Wait 3-5 minutes from the start of injection before starting the 3D MP-RAGE
  • The 3D MP-RAGE takes ~5-6 minutes to acquire
  • Start axial T1 with fat suppression at ~10-12 minutes post-injection (immediately after 3D completes)
  • Acquire coronal T1 with fat suppression at ~13-15 minutes post-injection

This timing provides peak parenchymal enhancement and helps distinguish between different tumor types.


Part 3: Review the Post-Contrast Images

Note! This section only reviews the post-contrast images. See our Part 1 article for the pre-contrast review.

Finally, we will review the images to ensure all the anatomical information we need is clear.

These key structures must be clearly visible in a brain tumor MRI:

  1. Tumor location, margins, and extent
  2. Mass effect and structural distortion
  3. Ventricular compression or shift
  4. Relationship to eloquent cortex and major vessels
  5. Internal tumor composition (solid versus cystic)
  6. Edema and infiltrative margins
  7. Enhancement patterns

Below, we will go through all the different image contrasts and explain their specific role in imaging brain tumors.


Post-Contrast T1 3D MP-RAGE – Reveals Enhancement Patterns

Post-contrast T1 imaging is the gold standard for detecting tumor enhancement and abnormal blood-brain barrier breakdown.

In brain tumor imaging, post-contrast T1 3D MP-RAGE reveals enhancement patterns that guide diagnosis and tumor grading. Rim enhancement with a central hypointense core suggests high-grade glioma, abscess, or metastasis. Homogeneous enhancement indicates meningioma, lymphoma, or some metastases.

Absence of enhancement suggests low-grade glioma, though some high-grade gliomas also show minimal enhancement. Nodular enhancement appears in hemangioblastomas and some cystic lesions. The thin 1 mm slices allow detection of subtle enhancement and enable multiplanar reconstructions for detailed assessment.

We acquire this sequence in sagittal orientation because it provides volumetric coverage that can be reconstructed in any plane while maintaining isotropic resolution.

Sagittal T1 3D MP-RAGE (Post-Contrast) – Correct Image Example:

Sagittal T1 3D MP-RAGE (Post-Contrast) – Correct Image Example

Things to Look for in Post-Contrast T1 3D MP-RAGE:

  • Enhancement pattern (rim, homogeneous, nodular, or absent)
  • Dural tail sign suggesting meningioma
  • Vascular encasement or invasion
  • Small enhancing foci suggesting microadenomas or metastases
  • Compare carefully with pre-contrast T1 to distinguish true enhancement from intrinsic T1 hyperintensity

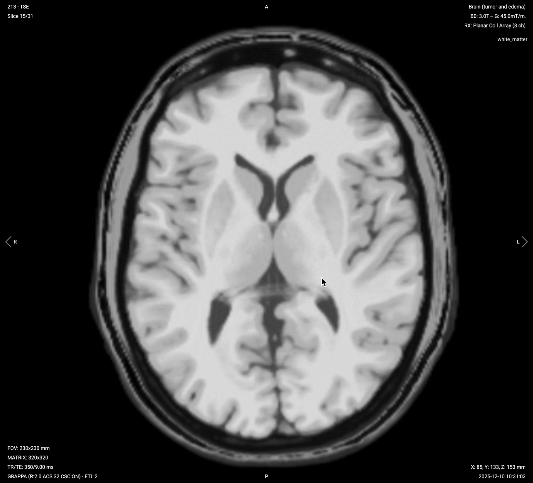
Post-Contrast Axial T1 with Fat Suppression – Confirms Enhancement Patterns

Post-contrast T1 with fat suppression eliminates bright signal from fat, making true contrast enhancement stand out more clearly.

In brain tumor imaging, axial post-contrast T1 with fat suppression confirms enhancement patterns seen on the 3D MP-RAGE from a different angle. Fat suppression helps distinguish true enhancement from fat or hemorrhage, particularly near the skull base or in extraaxial tumors. This sequence provides peak parenchymal enhancement when acquired at 10-12 minutes post-injection, making subtle tumor enhancement more visible.

We acquire this sequence in axial orientation to match other standard axial sequences and enable direct comparison with pre-contrast images.

Axial T1 with Fat Suppression (Post-Contrast) – Correct Image Example:

Axial T1 with Fat Suppression (Post-Contrast) – Correct Image Example

Things to Look for in Post-Contrast Axial T1 with Fat Suppression:

  • Confirmation of enhancement patterns from different angle
  • Subtle enhancement that may be obscured by fat without suppression
  • Clear distinction between enhancement and hemorrhage or fat
  • Relationship of enhancing tumor to surrounding structures
  • Absence of fat signal near skull base clarifying true enhancement

Post-Contrast Coronal T1 with Fat Suppression – Assesses Superior-Inferior Extent

Post-contrast coronal T1 with fat suppression provides a frontal perspective of tumor enhancement with fat signal eliminated.

In brain tumor imaging, coronal post-contrast T1 with fat suppression assesses the superior-inferior extent of the tumor and its enhancement. This view is particularly useful for identifying dural involvement, meningeal spread, and skull base invasion. Fat suppression clarifies enhancement along the meninges and skull base where fat might otherwise obscure pathology. This sequence complements the sagittal and axial post-contrast images for complete three-dimensional assessment.

We acquire this sequence in coronal orientation to complete the three orthogonal planes and provide optimal assessment of superior-inferior tumor relationships.

Coronal T1 with Fat Suppression (Post-Contrast) – Correct Image Example:

Coronal T1 with Fat Suppression (Post-Contrast) – Correct Image Example

Things to Look for in Post-Contrast Coronal T1 with Fat Suppression:

  • Superior-inferior tumor extent and enhancement
  • Dural involvement or meningeal spread along brain surface
  • Skull base invasion
  • Relationship to cranial nerves and vascular structures

Final Checks

Before finishing a post-contrast brain tumor MRI, always check these 6 points to ensure diagnostic quality:

  1. Pre- and Post-Contrast Comparison: Pre-contrast and post-contrast T1 images must have identical planning to enable accurate comparison and enhancement assessment.
  2. Complete Coverage: All sequences must fully cover the entire tumor and surrounding brain tissue, with no anatomical structures cut off.
  3. Enhancement Pattern Clarity: Post-contrast images must clearly show enhancement patterns, with adequate timing (peak parenchymal enhancement at 10-12 minutes post-injection).
  4. Multiplanar Assessment: Tumor must be evaluated in all three planes (axial, sagittal, coronal) for complete spatial understanding.
  5. Fat Suppression Quality: Post-contrast sequences with fat suppression must show uniform fat suppression, making true enhancement clearly visible.
  6. Image Quality and Artifacts: Images must have strong SNR, crisp detail, and minimal motion, chemical shift, susceptibility, or wrap-around artifacts. Motion artifacts are particularly critical to control in brain tumor protocols.